Damit mögliche Flüssigkeitsansammlungen in der Netzhaut aufgrund eines diabetischen Makulaödems (DMÖ) früh erkannt werden können, sind für Menschen mit Diabetes regelmäßige Untersuchungen bei einem*einer Augenärzt*in nötig – auch wenn keine Sehprobleme bestehen. Bei einem bereits diagnostizierten diabetischen Makulaödem sind Therapie- und Kontrolltermine wichtig, um den Verlauf dieser chronischen und damit lange dauernden Erkrankung zu beobachten und die Therapie darauf abzustimmen.
Bei Verdacht auf ein diabetisches Makulaödem führt Ihr*e Augenärzt*in verschiedene Augenuntersuchungen durch. Zu den Diagnosemethoden bei einem DMÖ zählen die Funduskopie, die optische Kohärenztomographie (OCT) und die Fluoreszenzangiographie (FLA).1 Im Folgenden stellen wir Ihnen die drei für die DMÖ- Diagnose nötigen Untersuchungen vor.

iStock-507115644_gilaxia
Funduskopie

iStock-1362506550_Dr_Microbe
Bei Verdacht auf ein Makulaödem kann eine Funduskopie Aufschluss geben. Diese auch Ophthalmoskopie genannte schmerzfreie Untersuchung des Augenhintergrunds ist fester Bestandteil der Vorsorge- und Kontrolluntersuchungen bei Patient*innen mit Diabetes.2 Sie kann unter anderem Gefäßveränderungen, Ablagerungen und Blutungen im Bereich der Netzhaut erfassen. Die Pupillen werden für die Untersuchung mit speziellen Augentropfen weitgestellt, der*die Augenärzt*in untersucht dann mit einem Augenspiegel (Ophthalmoskop) die Netzhaut auf Veränderungen wie zum Beispiel undichte Blutgefäße. Wichtig: Die Augen sind durch die Tropfen blendeempfindlicher, und die Sicht kann unscharf sein. Sie dürfen erst nach einigen Stunden wieder Auto fahren, wenn die Wirkung der Augentropfen abgeklungen ist.
Optische Kohärenztomografie (OCT)
Haben sich bei der Funduskopie Auffälligkeiten gezeigt, wird Ihr*e Augenärzt*in aufgrund des Verdachts auf ein diabetisches Makulaödem eine optische Kohärenztomographie durchführen. Damit lassen sich die einzelnen Netzhautschichten darstellen. Diese Untersuchung ist sehr wichtig. Denn: Sie kann zeigen, ob sich die für ein diabetisches Makulaödem typischen Flüssigkeitsansammlungen in und unter der Netzhaut gebildet haben.
Bei Patient*innen mit diabetischem Makulaödem wird diese schmerzfreie Untersuchung daher auch bei Kontrollterminen regelmäßig durchgeführt. Die OCT kann zeigen, ob die Therapie wirkt und ob noch Flüssigkeitsansammlungen vorhanden sind. Ziel ist es, dass die OCT möglichst keine schädliche Flüssigkeit mehr zeigt.

iStock-1173150571_yogenyogeny
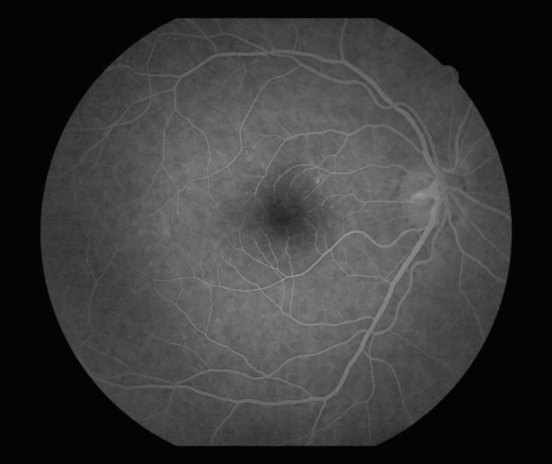
Fluoreszenzangiographie (FLA)

iStock-181095329_portishead1
Eine Fluoreszenzangiographie, kurz FLA, zeigt, ob und wenn ja aus welchen Blutgefäßen der Netzhaut Flüssigkeit austritt. Dafür wird Patient*innen über die Armvene ein fluoreszierender Farbstoff ins Blut verabreicht. Mithilfe einer Kamera lässt sich anschließend beobachten, wie der Farbstoff in die Gefäße des Auges einströmt und in welchem Zustand die Netzhautgefäße sind.3
Behalten Sie Ihre Augengesundheit immer im Blick
Diabetische Netzhauterkrankungen wie das diabetische Makulaödem machen sich im frühen Stadium oft noch nicht bemerkbar.4 Ist nur ein Auge betroffen, werden DMÖ-Symptome möglicherweise nicht erkannt, weil das andere Auge die Seheinschränkung ausgleicht. Menschen mit Diabetes sollten daher regelmäßig zur Vorsorge zu ihrem*ihrer Augenärzt*in gehen. Bemerken Sie Symptome des DMÖ wie verzerrtes oder verschwommenes Sehen, dunkle Flecken im Sichtfeld oder eine veränderte Farbwahrnehmung, sollten Sie nicht zögern und umgehend medizinischen Rat einholen. Denn: Eine ärztliche Untersuchung ist wichtig für die finale Diagnosestellung.
Wurde bei Ihnen bereits ein diabetisches Makulaödem festgestellt, sollten Sie keinen Behandlungstermin ausfallen lassen und regelmäßig Ihre Kontrolluntersuchungen wahrnehmen. Mit einer konsequenten und langfristigen medikamentösen Therapie lässt sich in vielen Fällen eine Verbesserung des Sehvermögens erzielen. Das Ziel ist es, das Sehvermögen möglichst langfristig zu stabilisieren. Wenn Sie mehr über die Therapie des diabetischen Makulaödems erfahren möchten, besuchen Sie unsere Seite zur Behandlung des DMÖ.
Amsler-Gitter-Selbsttest
Zwischen den Kontrollterminen bei dem*der Augenärzt*in können Sie mit dem Amsler-Gitter-Selbsttest Ihr Sehvermögen überprüfen.5 Der Test hilft, erste Symptome eines diabetischen Makulaödems wie verzerrtes Sehen oder dunkle Flecken in der Mitte des Gesichtsfeldes zu erfassen. Prüfen Sie Ihre Augen am besten regelmäßig.

Novartis

Novartis
Quellen:
- Stellungnahme der Deutschen Ophthalmologischen Gesellschaft, der Retinologischen Gesellschaft und des Berufsverbandes der Augenärzte Deutschlands: Therapie des diabetischen Makulaödems Stand August 2019. https://dog.org/fuer-aerzte/leitlinien-stellungnahmen-empfehlungen/diabetes-glaskoerper-netzhaut/stellungnahmen-diabetes-glaskoerper-netzhaut/stellungnahme-von-dog-rg-und-bva-zur-therapie-des-diabetischen-makulaoedems, zuletzt aufgerufen am 02.07.2025.
- Diabetische Retinopathie. https://www.msdmanuals.com/de-de/profi/augenkrankheiten/netzhauterkrankungen/diabetische-retinopathie, zuletzt aufgerufen am 02.07.2025.
- Tragende Gründe zum Beschlussentwurf des Gemeinsamen Bundesausschusses über eine Änderung der Richtlinie Methoden vertragsärztliche Versorgung (MVV-RL): Optische Kohärenztomographie (OCT) zur Diagnostik und Therapiesteuerung der neovaskulären altersbedingten Makuladegeneration (nAMD) und des Makulaödems im Rahmen der diabetischen Retinopathie (DMÖ). https://www.g-ba.de/downloads/40-268-5508/2018-12-20_MVV-RL_OCT-diabetische-Retinopathie_TrG.pdf, zuletzt aufgerufen am 02.07.2025.
- Diabetic Retinopathy and Diabetic Macular Edema: Pathophysiology, screening, and novel therapies. https://care.diabetesjournals.org/content/26/9/2653, zuletzt aufgerufen am 02.07.2025.
- Beratungsverfahren Richtlinie Methoden vertragsärztliche Versorgung: Optische Kohärenztomografie zur Diagnostik und Therapiesteuerung der neovaskulären altersbedingten Makuladegeneration sowie des Makulaödems im Rahmen der Diabetischen Retinopathie gemäß § 135 Absatz 1 SGB V. https://www.g-ba.de/downloads/40-268-5509/2018-12-20_MVV-RL_OCT-diabetische-Retinopathie_ZD.pdf, zuletzt aufgerufen am 02.07.2025.