Eine feuchte altersabhängige Makuladegeneration (feuchte AMD) ist eine chronisch-degenerative Erkrankung. Ihr Hauptmerkmal sind fehlerhafte Blutgefäße, die sich unter der Netzhaut bilden. Diese neu gebildeten Gefäße sind brüchig und porös – es sickert Flüssigkeit heraus, die sich in und unter der Netzhaut im Hintergrund des Auges sammelt. Dies kann zur Schwellung und Schädigung der Makula führen – dem Teil der Netzhaut, der uns eine scharfe Sicht verleiht und Farben sehen lässt.1 Auch bei einem diabetischen Makulaödem (DMÖ) kommt es zu diesen Veränderungen an der Netzhaut. Ursache sind dauerhaft erhöhte Blutzuckerwerte.

Wird die austretende Flüssigkeit bei beiden Erkrankungen nicht unter Kontrolle gebracht, verschlechtert sich das zentrale scharfe Sehen schrittweise immer weiter. Alltägliche Aktivitäten wie Lesen, das Erkennen von Gesichtern und Autofahren werden zunehmend schwieriger.1,2

 

Bild
Novartis

Weshalb Augenärzt*innen bei einer feuchten Makuladegeneration und einem diabetischen Makulaödem OCT-Scans einsetzen

Im Rahmen der Erstdiagnose einer feuchten AMD oder eines DMÖ und bei Kontrollterminen werden Augenärzt*innen wahrscheinlich eine optische Kohärenztomographie (OCT) durchführen.3 Mit dieser berührungs- und schmerzfreien Untersuchungsmethode kann festgestellt werden, ob und wie viel Flüssigkeit sich im Bereich der Netzhaut befindet. Hierbei lässt sich auch erkennen, wo sich die Flüssigkeit sammelt: unter der Netzhaut (subretinal) oder in der Netzhaut (intraretinal). Durch diese Flüssigkeitsansammlungen kann es zu typischen Symptomen wie verschwommenes und verzerrtes Sehen kommen.1,2

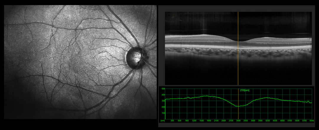
Dieses Beispiel zeigt die Netzhaut einer Person mit feuchter Makuladegeneration im OCT-Scan:

Das Bild zeigt eine Aufnahme in Schwarz-Weiß, die im Rahmen einer optischen Kohärenztomographie entstanden ist. Rechts im Bild sichtbar sind die verschiedenen Schichten der gesunden Netzhaut im Querschnitt.
iStock-1173150571_yogenyogeny

Was ist die optische Kohärenztomographie (OCT)?

Die optische Kohärenztomographie (OCT) ist ein bildgebendes Verfahren zur Diagnose von Augenerkrankungen und – vereinfacht gesagt – mit einer Ultraschallaufnahme vergleichbar. Allerdings wird  hierbei schwaches Laserlicht statt Schallwellen eingesetzt. Die OCT ermöglicht eine für Patient*innen absolut schmerzfreie grafische Darstellung der Netzhaut und liefert hochaufgelöste Schichtbilder in einem Querschnitt.

Anhand des OCT-Befunds können die Mediziner*innen die Netzhautschichten beurteilen, zum Beispiel deren Dicke und Feinstruktur. Eine optische Kohärenztomographie kommt vor allem bei der Erstdiagnostik verschiedener Netzhauterkrankungen wie der altersabhängigen Makuladegeneration zum Einsatz.

Wie funktioniert die OCT und was sollte man vor der Durchführung wissen?

Augenärzt*innen greifen auf die optische Kohärenztomographie zurück, um eine krankhafte Veränderung im Auge zu diagnostizieren. Im Gegensatz zur Funduskopie und Fluoreszenzangiographie  macht diese Untersuchung sogar die einzelnen Schichten der Netzhaut erkennbar. Dafür verwenden Augenärzt*innen ein spezielles schwaches und für die Augen unschädliches Laserlicht, mit dem sie die Netzhaut abtasten. Die verschiedenen Schichten der Netzhaut reflektieren das Licht unterschiedlich, sodass im Computer ein genaues Bild des Aufbaus entsteht.

Der OCT-Befund zeigt unter anderem Makulaveränderungen wie ein Makulaödem an, also eine Flüssigkeitsansammlung im Bereich des Gelben Flecks (Makula). Sie kann bei einer AMD, einem DMÖ oder auch einem retinalen Venenverschluss vorkommen. Auch bei der Diagnose und Verlaufskontrolle anderer Augen- und Netzhauterkrankungen hat sich die optische Kohärenztomographie bewährt, beispielsweise bei der Glaukom-Früherkennung.

Ablauf der OCT: So funktioniert die Untersuchung

Für eine OCT verabreicht Ihnen der*die Ärzt*in üblicherweise keine Medikamente. Der Ablauf der diagnostischen Methode dauert außerdem nur wenige Minuten:

  • Sie sitzen bei der Untersuchung vor einem Gerät, das der Spaltlampe ähnelt. Eine Spaltlampe nutzen Augenärzt*innen, um verschiedene Bereiche des Auges vergrößert zu betrachten.
  • Mit einer Art Fotoapparat macht der*die Mediziner*in Bilder von den Schichten Ihrer Netzhaut.
  • Anschließend betrachtet und beurteilt der*die Augenärzt*in die Aufnahmen auf dem Computer.

In den meisten Fällen teilt Ihnen der*die Ärzt*in sofort den Befund mit und informiert Sie, insofern notwendig, über mögliche Behandlungsmaßnahmen.

Feuchte Makuladegeneration und diabetisches Makulaödem: Ursache sind Wachstumsfaktoren im Übermaß

Die Entstehung der porösen Blutgefäße wird durch eine vermehrte Ausschüttung von kleinen Proteinen verursacht, den Endothelwachstumsfaktoren (Vascular Endothelial Growth Factor, abgekürzt VEGF).4 Der heutige Standard zur Kontrolle dieser kleinen Proteine ist eine Behandlung mit VEGF-Hemmern.5 Sie kann helfen, die Flüssigkeit in und unter der Netzhaut zu reduzieren, das Wachstum der durchlässigen Blutgefäße zu bremsen – und so das Fortschreiten einer feuchten altersabhängigen Makuladegeneration oder eines diabetischen Makulaödems zu verlangsamen. Nähere Informationen finden Sie im Bereich Behandlungsmöglichkeiten.

Da bei einer feuchten altersabhängigen Makuladegeneration und bei einem diabetischen Makulaödem innerhalb kürzester Zeit deutliche Sehverluste eintreten können, ist die Einhaltung regelmäßiger, fachärztlicher Kontrolltermine extrem wichtig.6 Das dient auch dem Schutz Ihres zweiten Auges: Selbst wenn zunächst nur ein Auge betroffen ist – das Risiko ist deutlich erhöht, dass auch im anderen Auge Netzhautveränderungen entstehen.1 Hier finden Sie Informationen  zum  gesunden Auge.

Durch regelmäßige OCT-Untersuchungen können Augenärzt*innen Verschlechterungen und Verbesserungen der feuchten Makuladegeneration und eines DMÖs feststellen: Ist im OCT-Bild wenig bis keine Flüssigkeit in oder unter der Netzhaut zu erkennen, ist die Behandlung effektiv.7

Das Bild zeigt eine Aufnahme in Schwarz-Weiß, die im Rahmen einer optischen Kohärenztomographie entstanden ist. Rechts im Bild sichtbar sind die verschiedenen Schichten der gesunden Netzhaut im Querschnitt.
iStock-1173150571_yogenyogeny

Dieses OCT-Beispiel zeigt eine Netzhaut ohne Flüssigkeitsansammlungen

Weitere Informationen finden Sie in unserer Broschüre „Ein Augenblick genügt: Flüssigkeitskontrolle mit der OCT bei der feuchten AMD“.

Erfahren Sie, wie ein Termin bei einem*einer Augenärzt*in abläuft und welche weiteren Untersuchungsmethoden es gibt.

Die tägliche Selbstkontrolle mit dem Amsler-Gitter-Test hilft, mögliche Verschlechterungen frühzeitig festzustellen. Hier können Sie ein Amsler-Gitter kostenlos herunterladen.

Die Grafik zeigt ein Gitter, bei dem ein schwarzer Fleck unscharf erscheint. Zudem sind einige der Linien verzerrt. Diese Darstellung illustriert damit ein mögliches Symptom des DMÖ – verzerrtes Sehen.
Novartis

Amsler-Gitter-Tests, die typische Seheinschränkungen bei feuchter altersabhängiger Makuladegeneration und diabetischem Makulaödem zeigen. Auf dem linken Test erscheinen die eigentlich geraden Gitterlinien verzerrt. Der zweite Test zeigt einen dunklen Fleck in der Mitte des Gitters.

Die Grafik zeigt ein Gitter mit senkrechten und waagerechten Linien in immer gleichen Abständen zueinander, die viele kleine Quadrate identischer Größe bilden. Genau in der Mitte des Gitters sind zwei unterschiedlich große schwarze Flecken zu sehen. Auch das ist ein weiteres mögliches Symptom des DMÖ.
Novartis

DOWNLOADS:

AMD-Broschüre: Die Sehkraft bis ins Alter erhalten

In unserer Patient*innenbroschüre finden Sie viele Informationen über die AMD, vorbeugende Maßnahmen und Behandlungsmöglichkeiten.

PDF: Patient*innenbroschüre

Broschüre: Leben mit feuchter AMD

In dieser umfangreichen Broschüre haben wir für Sie wichtige und hilfreiche Tipps zum Leben mit einer feuchter AMD zusammengestellt.

PDF: Leben mit AMD

Amsler-Gitter: Sehkraft testen

Laden Sie sich hier das Amsler-Gitter für den Selbsttest Ihrer Sehkraft zu Hause als PDF herunter. Zum Testen drucken Sie das PDF aus.

PDF: Selbsttest

DMÖ-Broschüre: Bei Diabetes die Augen im Blick behalten

In unserer Patient*innenbroschüre zum diabetischen Makulaödem finden Sie hilfreiche Hinweise rund um das Krankheitsbild DMÖ.

PDF: Patient*innenbroschüre

Der Inhalt des Infopakets zur feuchten AMD ausgebreitet.
Novartis

Kostenloses AMD-Infopaket nach Hause bestellen


 

Das Bild zeigt die Inhalte des DMÖ-Bestellpakets: Drei Broschüren und Flyer sowie das Amsler-Gitter
Novartis

Kostenloses DMÖ-Infopaket nach Hause bestellen


 

Quellen:

[1] National Eye Institute. Age-Related Macular Degeneration (AMD). URL: https://www.nei.nih.gov/learn-about-eye-health/eye-conditions-and-diseases/age-related-macular-degeneration, zuletzt aufgerufen am 02.07.2025.
[2] BMC Ophthalmol. 2016 Mar 24;16:31. doi: 10.1186/s12886-016-0207-3, zuletzt aufgerufen am 02.07.2025.
[3] Am J Ophthalmol. 2004 Feb;137(2):313-22. doi: 10.1016/j.ajo.2003.09.016, zuletzt aufgerufen am 02.07.2025.
[4] Kim R. Introduction, mechanism of action and rationale for anti-vascular endothelial growth factor drugs in age-related macular degeneration. Indian J Ophthalmol. 2007;55(6):413-415.
[5] Gehrs KM, Anderson DH, Johnson LV, and Hageman GS. Age-related macular degeneration— emerging pathogenetic and therapeutic concepts. Ann Med. 2006;38:450-471.
[6] Mowatt G et al. Optical coherence tomography for the diagnosis, monitoring, and guiding of treatment for neovascular age-related macular degeneration: a systematic review and economic evaluation. Health Technol Assess 2014;18(69)
[7] García-Layana A, et al. Early and intermediate age-related macular degeneration: update and clinical review. Clin Interv Aging. 2017;12:1579–1587.